Viêm Nha Chu Nguy Hiểm Hơn Bạn Tưởng
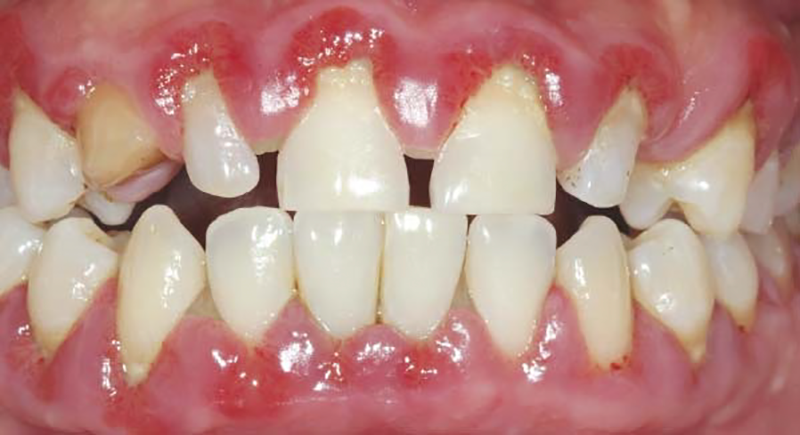
Biểu hiện của viêm nha chu
- Nướu chảy máu khi chải răng.
- Nướu sưng đỏ, dễ chảy máu.
- Vôi răng đóng ở cổ răng.
- Miệng có mùi hôi.
- Ấn vào nướu thấy mủ chảy ra.
- Có cảm giác đau đớn, không thoải mái khi ăn nhai.
- Răng lung lay, xô lệch và thưa dần.

Khi có những dấu hiệu này liên hệ với Nha Khoa Quốc Tế K-Da qua Messenger để được tư vấn hoàn toàn miễn phí
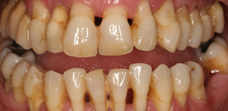
Viêm nha chu gây ra những hậu quả gì?
- Gây ra các vấn đề răng miệng
- Viêm nha chu hủy hoại các mô nâng có tác dụng nâng đỡ và cố định răng.
- Tình trạng nặng dần dẫn tới việc răng lung lay nhiều, ăn nhai khó khăn, thậm chí mất răng.
- Chỗ mô bị tổn thương dễ tích tụ nhiều vi khuẩn, sinh ra mùi hôi miệng khó chịu.
- Dẫn tới các bệnh nghiêm trọng với cơ thể
- Gây bệnh tiểu đường: Nhiễm trùng nha chu theo đường tuần hoàn máu tới các tế bào gây hiện tượng kháng insulin. Tuyến tụy sẽ bị suy nhược sau một thời gian dài cố gắng tiết insulin để hấp thụ glucose, lâu dần gây bệnh tiểu đường.
- Gây bệnh tim mạch: vi khuẩn nha chu có thể theo đường tuần hoàn máu tác động trực tiếp lên tim. Hoặc độc tố của nha chu sẽ tác động tới gan, sản sinh ra những chất gây hại cho tim mạch.
- Gây sinh non, em bé thiếu cân: vi khuẩn nha chu làm tăng Prostaglandin gây ra sự giãn nở, co thắt tử cung dẫn tới sinh non và em bé thiếu cân khi ra đời.

Phòng ngừa viêm nha chu như thế nào?
Để tránh những hậu quả của viêm nha chu tốt hơn hết nên phòng ngừa để không mắc bệnh. Cách đơn giản nhất để phòng tránh là vệ sinh răng miệng thường xuyên, đúng cách và cạo vôi răng, khám định kỳ tại các nha khoa uy tín.

Liên hệ với Nha Khoa Quốc Tế K-Da để được thăm khám và tư vấn miễn phí các vấn đề về răng miệng – Hotline 0906 421 688